ZAHNARZTPRAXIS
SMALE

Willkommen bei der Zahnarztpraxis Smale in Kaiserswerth – wo Fachwissen, Erfahrung und Zusammenarbeit für Ihre Zahngesundheit im Mittelpunkt stehen.


William Smale

Über uns

Willkommen in der Zahnarztpraxis Smale.

Mein Name ist William Smale, und in unserer Zahnarztpraxis in Kaiserswerth dreht sich alles um hochwertige Zahnmedizin mit höchster Präzision und Spezialisierung.

Mit über 25 Jahren Erfahrung in der Zahntechnik und Zahnmedizin habe ich ein weitreichendes Netzwerk aus Experten der Bereiche Zahntechnik, Oralchirurgie und Kieferorthopädie aufgebaut. Ich bin überzeugt, dass durch gezielte Spezialisierung und die Zusammenarbeit mit den besten Fachleuten jeder Disziplin eine außergewöhnliche Qualität erreicht werden kann.

Unser Ziel ist es, Ihnen individuelle und erstklassige Lösungen für Ihre Zahngesundheit zu bieten. Wir nehmen uns Zeit für Ihre Bedürfnisse und legen größten Wert auf präzise Diagnosen, moderne Behandlungsmethoden und eine angenehme Atmosphäre.

Möchten Sie noch mehr über mich erfahren?
Hier geht es zu meiner Vita.


Unsere Leistungen – Präzision und individuelle Lösungen für Ihre Zahngesundheit

In der Zahnarztpraxis Smale legen wir größten Wert auf hochwertige Zahnmedizin, maßgeschneiderte Behandlungen und präzise Ausführung.
Gemeinsam mit einem starken Netzwerk aus Spezialisten bieten wir Ihnen eine Bandbreite an Leistungen, die auf Ihre individuellen Bedürfnisse abgestimmt sind.

Prophylaxe & Vorsorge für Kinder
Prophylaxe & Vorsorge

Gesunde Zähne beginnen mit sorgfältiger Pflege. Durch professionelle Zahnreinigung und gezielte Vorsorge helfen wir Ihnen, Zahnprobleme frühzeitig zu vermeiden.

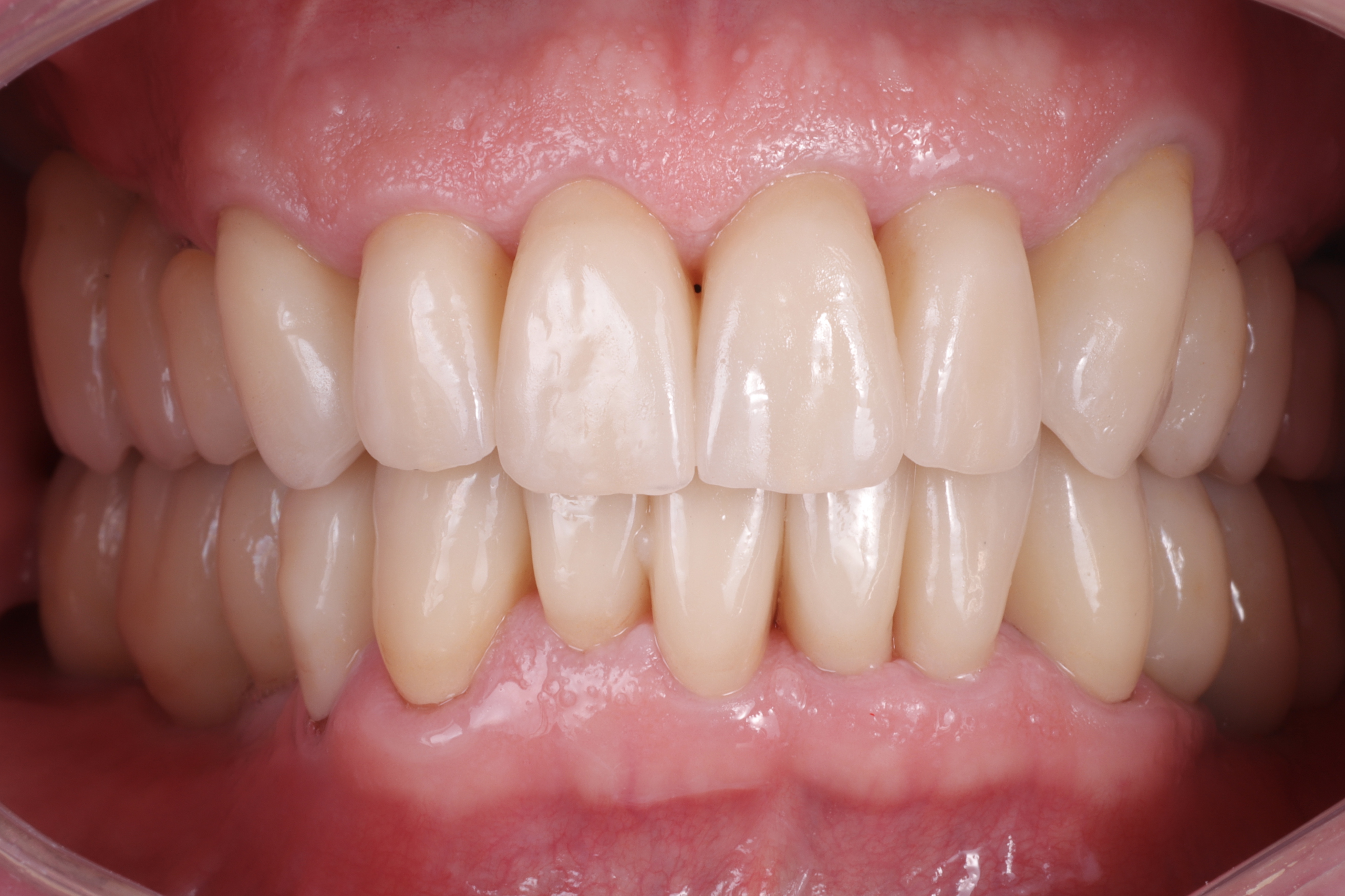
Ästhetische Zahnheilkunde
Ästhetische Zahnheilkunde

Ein strahlendes Lächeln wirkt sich positiv auf das Selbstbewusstsein aus.
Ob Zahnaufhellung, ästhetische Korrekturen oder hochwertige Füllungen – wir setzen auf modernste Methoden für ein natürlich schönes Ergebnis

Prothetische Rekonstruktionen & Zahnersatz

Wenn ein Ersatz notwendig wird, gibt es verschiedene Möglichkeiten – von Kronen über Brücken bis hin zu Implantaten. Wir begleiten Sie bei der Auswahl und sorgen für höchste Präzision bei der Umsetzung.

Sorgfältige Planung – Kein Schnellverfahren!
Sorgfältige Planung – Kein Schnellverfahren!

Bei uns gibt es keine Dritten Zähne an einem Tag, denn wir wissen, wie sensibel und komplex das orofaziale System ist. Um die perfekte Kieferposition zu gewährleisten, arbeiten wir mit Langzeitprovisorien, die sich im realen Alltag bewähren müssen, bevor die endgültige Versorgung umgesetzt wird.


Fühlen sie sich aufgehoben.

Helle, ruhige Räume und eine entspannte Atmosphäre machen den Aufenthalt angenehm. Ob Kinder, Erwachsene oder Senioren – alle sollen sich wohlfühlen.


„Wir finden gemeinsam eine Lösung die zu Ihren Bedürfnissen und Ansprüchen passt.“

Prothetik-Konzept 75+

Lebenslange Lebensqualität: Das Prothetik-Konzept 75+ mit teleskopierendem Zahnersatz
Mit zunehmendem Alter verändern sich nicht nur unsere körperlichen Bedürfnisse – auch die Anforderungen an eine funktionale, ästhetische und pflegeleichte zahnmedizinische Versorgung steigen. Genau hier setzt das bewährte „Konzept 75+“ an, entwickelt von Dr. Holger Gloerfeld an der Universität Marburg: ein ganzheitliches, altersgerechtes Prothetikmodell, das Patienten bis ins hohe Alter begleitet – sicher, komfortabel und nachhaltig.

Was ist das Konzept 75+?
Das Konzept 75+ ist ein zahnmedizinisches Versorgungskonzept, das speziell für Menschen ab 75 Jahren entwickelt wurde. Es berücksichtigt die altersbedingten Veränderungen in Motorik, Wahrnehmung und Pflegefähigkeit – mit dem Ziel Es einfach zu halten,und die Mundgesundheit auch im Pflegefall zu sichern.
Ein zentraler Bestandteil dieses Konzepts ist die teleskopierende Prothetik, bei der alle vorhandenen Zähne in eine herausnehmbare, aber hochpräzise verankerte Versorgung integriert werden.

Beratung: Zahnersatz für Senioren
Implantatbehandlung in der Zahnarztpraxis Smale

Teleskopierende Arbeiten: Stabilität trifft Flexibilität
Bei der teleskopierenden Versorgung werden die natürlichen Zähne mit sogenannten Primärkronen versehen, auf die passgenaue Sekundärkronen in der Prothese aufgesetzt werden. Das Ergebnis: eine herausnehmbare Arbeit mit festsitzendem Gefühl – funktional, ästhetisch und pflegeleicht.

Die Vorteile im Überblick:
Langlebigkeit: Diese Versorgung ist so konzipiert, dass sie – bei guter Pflege – ein Leben lang getragen werden kann . Auch wenn einmal ein Zahn entfernt werden muss kann die Prothese/die Zahnspange weiter getragen werden bis keine natürliche Verankerung /kein Zahn mehr vorhanden ist.

Pflegeleicht im Alter:
Pflegeleicht vor allem weil schwer zu reinigende Zahn-zwischen-räume bei herausgenommener Zahnschiene gut gereinigt werden können . Die Zahnschiene/Zahnprothese kann mit einer herkömmlichen Wurzelbürste unter Fließendem Wasser gereinigt werden. 

Hoher Tragekomfort:
Die Teleskoptechnik sorgt für sicheren Halt je nach Muster der Stützzonen ohne Druckstellen oder Wackeln.

Erhalt der Restzähne:
Die vorhandenen Zähne werden funktionell eingebunden und stabilisiert .Somit wird der Kieferknochen über seine natürliche Funktion der Regeneration der Knochenzellen weiter stimuliert und der Atrophie vorgebeugt.

Für ein selbstbestimmtes Leben – auch im Pflegefall
Gerade im hohen Alter oder bei Pflegebedürftigkeit ist es entscheidend, dass Zahnersatz nicht zur Belastung wird. Teleskopierende/herausnehmbare Arbeiten nach dem Konzept 75+ sind so gestaltet, dass sie auch unter erschwerten Bedingungen – etwa bei Demenz oder eingeschränkter Feinmotorik – problemlos gehandhabt und gereinigt werden können.
Pflegekräfte oder Angehörige können die Prothese leicht entnehmen, reinigen und wieder einsetzen – ohne komplizierte Handgriffe oder technische Hürden.

Vorsorge ist Lebensqualität
Das Konzept 75+ ist mehr als nur Zahnersatz – es ist ein Versprechen für Lebensqualität bis ins hohe Alter. Als Ihr Zahnarzt begleite ich Sie auf diesem Weg mit individuell abgestimmten Lösungen, die nicht nur heute, sondern auch morgen und übermorgen funktionieren.

Wenn Sie mehr über teleskopierende Versorgungen oder das Konzept 75+ erfahren möchten, berate ich Sie gerne persönlich in meiner Praxis. 



Ihr Weg zu uns:

Unsere Praxis befindet sich in Kaiserswerth und ist bequem mit öffentlichen Verkehrsmitteln sowie mit dem Auto erreichbar. Parkmöglichkeiten finden Sie direkt in der Nähe. Eine genaue Wegbeschreibung erhalten Sie auf unserer Karte oder über Google Maps.

Schnelle Termine

Wir sind für Sie da!
Keine langen telefonischen Wartezeiten.
Sie werden direkt durchgestellt.

Montag, Dienstag, Donnerstag: 8:00-18:00
Mittwoch und Donnerstag: 8:00-13:00

Arnheimer Str. 27

40489 Düsseldorf

+49 0211 / 40 04 49

Kontaktieren Sie uns!

Home    Über uns    Leistungen    KONZEPT 75 +    Patienteninformation    Terminvereinbarung    Kontakt    FAQ